三立新聞網
三立藝能
追蹤娛樂星聞
FB
YT
threads
1
⚑
CH54三立新聞台直播
袁惟仁逝世
百味人生
即時
熱門
熱搜
星聞
綜藝
戲劇
日韓
電影
音樂
專題
影音
節目
圖輯
新冠肺炎全球大流行
★
XBB.1.5及BQ.1高傳播力!陳秀熙估3月高峰
2023/01/18 15:15
本週末就要過農曆新年了,但防疫不能掉以輕心。台大公衛學院教授陳秀熙今(18)日指出,若國內疫情控制好,年後可以考慮逐漸鬆綁口罩並準備降級;但XBB.1.5、BQ.1變異株具高速傳播力及高免疫逃脫力,若持續大流行,預估將在3月初達到高峰。(記者:簡浩正)
★
新/疫情連7降少9%!本土15409、40歿
2023/01/16 14:04
指揮中心表示,今(16)日新增15409例、境外223例,死亡40例,本土疫情較上週下降9%,已連七天下降。今日另新增52例中、重症患者,當中有7例兒童青少年MIS-C個案,兩例還合併心肌炎,其中1位17歲男性,1月1日發病,1月2日於急診檢查時發現有心肌炎,收治加護病房,給予免疫球蛋白、類固醇治療,後仍出現呼吸窘迫,目前插管使用呼吸器,仍在加護病房救治中。(記者黃仲丘)
★
郭董最愛!BNT次世代有疑慮?王必勝釋疑
2023/01/14 15:36
BNT恐存在安全問題?美國疾病管制暨預防中心(CDC)表示,輝瑞(Pfizer)/BioNTech次世代疫苗可能存在安全問題。引發外界對該疫苗疑慮。對此,指揮中心指揮官王必勝今(14)日表示,經國內監測系統未發現相關疑慮,民眾仍可以安心接種。(記者:簡浩正)
★
中國拒倍拉維與西方疫苗!專家:愛面子
2023/01/13 12:47
中國放寬管制疫情大爆發,當局否決將COVID-19治療藥物倍拉維納入醫保,又不願引進成效較佳的西方疫苗,決策邏輯令人費解,專家說這是因財政吃緊、官員要拿好處,加上拉不下臉向西方開口所致。
★
神功也沒用!傳少林寺總教頭確診新冠病逝
2023/01/13 00:35
中國新冠肺炎(COVID-19)疫情嚴峻,連有神功護體的少林寺高僧也擋不住。中國網路流傳,以修行「達摩內功」聞名的少林寺武僧總教頭「延庄大師」釋延庄,因確診新冠肺炎病逝,享年59歲。但治療過程、發病症狀等細節,皆未有進一步消息。而中國媒體報導,釋延庄於1月10日病逝,但其微博在當天還有發文,讓不少網友質疑訊息真假,不過更多網友紛紛表達哀悼,惋惜一代宗師殞命。
★
氧氣用到100%!台商「大白肺」死亡率4成
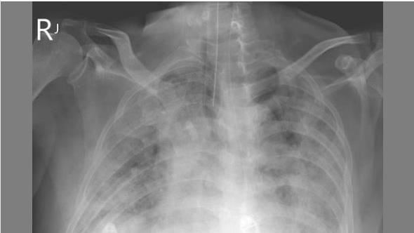
2023/01/07 12:02
蘇一峰醫師在個人臉書發文並貼出一張「大白肺」X光片,他表示,從中國回來的60歲台商大白肺(嚴重肺炎)了,該名台商回來3天自己驗後確診新冠,可是沒有第一時間就醫,之後雖給抗病毒藥物,還是擋不住進展,「氧氣已用到百分之百」,現在插管病危。他並呼籲指揮中心,可驗看看這名台商患者的病毒株是哪一種,避免未知新病毒侵台外,也可考慮若從中國返台民眾若確診症狀較嚴重者,也都檢驗病毒株。(記者:簡浩正)
★
最新中國入境定序出爐!流行「這3株」
2023/01/06 15:06
中國新冠疫情近日持續升溫,且因應中方邊境準備解封,我國從今年1月1日起針對中國入境航班乘客執行唾液PCR篩檢。中央流行疫情指揮中心今(6)日公布最新定序結果,指揮中心發言人莊人祥表示,首日(1月1日)入境陽性個案定序出三種變異病毒,以BA.5.2、BF.7為最主要,另有少部分BA.5.1,都是國內已經檢測出現過的變異株,XBB等新變異病毒則未見。(記者:簡浩正)
★
清冠一號需求量暴增 他:全世界在搶
2023/01/06 10:21
過年前,台灣確診人數超過3萬人,加上中國疫情炸開,使得清冠一號再度出現需求暴增的情況。清冠一號因為對新冠疫情有效,被稱為中醫界的護國神山。去年開第一槍證實「清冠一號」可以預防與治療新冠肺炎的《中華民國中醫師公會全聯會》常務監事陳潮宗中醫師接受《三立新聞網》訪問時強調,清冠一號真的有效,全市界都在搶。
★
這款變異株被稱「海怪克拉肯」傳播力最強
2023/01/05 21:17
新冠疫情在中國越演越烈!世界衛生組織(WHO)專家組昨日公布,當前中國爆增的新冠疫情主要是來自Omicron亞變體BA.5病株,但也警告各國對Omicron變異株XBB.1.5提高警覺。加拿大公共衛生局(PHAC)表示,已經檢測到21例XBB.1.5新變體,更被非正式地稱為海怪克拉肯(Kraken,北歐神話中的挪威海怪)菌株,其傳播力強、目前正在美國流行。(國際中心)
★
日新年收假疫情再爆 全境單日增逾22萬例
2023/01/05 19:47
日本新年假期結束後,COVID-19(2019冠狀病毒疾病)新增確診病例再度暴增,全境今日共增逾22萬例。另外,日本最近一週總計新增逾94萬例,再度高居全球各地之冠。
★
獨/陸將解封醫點2類人!驟然解封恐失控
2023/01/04 19:03
胸腔內科暨重症醫學醫師黃軒認為,「驟然解封」易導致疫情擴散失控,並列舉英國、義大利、加拿大等國研究指出,驟然解封會使疫情擴散,一直「on and off (開開關關)」的持續發展,呼籲不管哪種解封方式,都必須得有配套措施同時進行,政府並加強和民眾的風險溝通、資訊透明化,才能降低人民的恐懼。(記者:簡浩正)
★
染XBB1.5會「無意識腹瀉」?陸瘋搶紙尿布
2023/01/04 17:20
繼連花清瘟、布洛芬等能緩解新冠診狀的藥物被瘋搶至大缺貨後,中國民眾近日又有新的囤貨目標。1月3日,網路上流傳上海已出現XBB1.5病例,感染之後會無意識腹瀉,呼籲民眾多囤積紙尿褲,專家回應此傳言表示,就算是一般病毒性感冒也會導致噁心、嘔吐、腹瀉等症狀,這屬正常病理反應,請大家不要過度驚慌。(文:CTWANT)
2
3
4
最新圖輯
羅志祥30周年演唱會
凱琳專訪
黃鐙輝、吳念軒、黃騰浩專訪
第62屆金馬獎得獎後台
第62屆金馬獎紅毯
HOT焦點
2026花在彰化邁入20週年 全新3大亮點曝
SMILE Pro單眼10秒讓吳姍儒視力自由
網友大推「這款」四層衛生紙:還不買爆
更多焦點+
熱門人物
直播✦活動
三立新聞網
為了提供更好的閱讀內容,我們使用相關網站技術來改善使用者體驗,也尊重用戶的隱私權,特別提出聲明。
了解最新隱私權聲明
知道了